How Aging Affects Your Teeth Beyond Just Wear and Tear
Aging is a natural process that can’t be stopped; while sometimes we see the addition of wrinkles and grey hair, we should know that aging affects oral health in ways that go beyond simple wear and tear.
Just like other parts of the body, teeth, gums, and oral structures undergo changes that can impact overall well-being. In St. Albert, where approximately 20% of the population is over 65 years old, understanding how aging influences dental health is especially important.

By recognizing these changes early and adopting preventive strategies, seniors can maintain strong, healthy smiles for years to come. Let’s explore how aging affects teeth and what you can do to keep them strong and healthy.
Natural Wear and Tear on Teeth
Our teeth work hard daily, helping us chew, speak, and smile. Over the years, constant use has led to gradually wearing down the tooth enamel.
Enamel is the hard outer layer that protects teeth from decay and damage. While your enamel is incredibly strong, decades of chewing and exposure to acidic foods can cause it to thin. As enamel erodes, teeth become more sensitive to hot and cold foods, increasing the risk of discomfort.
Although wear and tear is a normal part of aging, additional factors can accelerate dental decline.
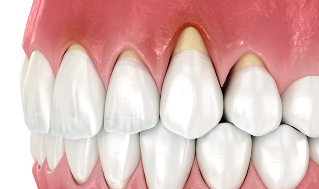
Gum Recession and Its Implications
Aging affects the teeth and the gums that support them. One common issue among older adults is gum recession, where the gum tissue gradually pulls back from the teeth, exposing the roots.
When this happens, the teeth become more sensitive, and the risk of cavities in the exposed root areas increases. Since roots do not have the same protective enamel as the rest of the tooth, they are more vulnerable to decay.

If left untreated, gum recession can lead to more serious complications such as periodontal disease or even tooth loss. Gum recession is not the only challenge aging presents for oral health.
Increased Risk of Root Decay
Gum recession exposes teeth’ roots, making them highly susceptible to decay. Unlike a tooth’s enamel-covered crown, the root is covered with a softer tissue called cementum, which wears away more easily.
When roots are exposed, bacteria can quickly cause cavities, leading to pain, infections, and tooth loss. The combination of gum recession, reduced saliva production, and dietary habits make older adults particularly vulnerable to this type of decay.
Unfortunately, root decay can lead to an even bigger issue: missing teeth.
Tooth Loss and Its Consequences
Tooth loss is more common in older adults, with factors like gum decay, gum disease, and bone loss amplifying the problem. Missing teeth have significant effects on a person’s quality of life, affecting speech, chewing ability, and self-esteem.
Beyond the obvious challenges, tooth loss can lead to bone loss in the jaw. Without the natural tooth roots to stimulate the jawbone, the bone begins to deteriorate over time, leading to facial sagging and further dental complications.
Tooth loss is not just a cosmetic concern, it can have long-term consequences for oral and overall health. Other aging-related risks are equally important to monitor.
Higher Incidence of Oral Cancer
As we age, the risk of developing oral cancer increases. Factors such as tobacco use, excessive alcohol consumption, and prolonged sun exposure on the lips contribute to this risk.
Often, oral cancer starts without noticeable symptoms, and regular dental check-ups are needed for early detection. Dentists like Dr. Dimitrov can identify suspicious lessons or tissue changes that may require further evaluation.
In addition to oral cancer risks, medications that many seniors take can also impact dental health.
Impact of Medications on Oral Health
Many older adults take prescription medications to manage chronic health conditions.
Unfortunately, some of these medications can negatively impact oral health, causing dry mouth, gum overgrowth, or even changes in taste perception.
Medications for blood pressure, allergies, and depression are among the most common causes of dry mouth. If you experience this, consult with Dr. Dimitrov, who may recommend solutions such as saliva substitutes or adjustments to your dental routine.
Fortunately, there are several strategies that seniors can implement to protect their internal health as they age.
Strategies for Maintaining Oral Health in Older Adults
- Practice Good Oral Hygiene:
Brush twice daily with fluoride toothpaste and floss daily to remove plaque buildup. - Stay Hydrated:
Drinking plenty of water helps prevent dry mouth and maintains saliva flow. Reducing alcohol and caffeine can also prevent dry mouth. - Regular Dental Checkup:
Visiting Dr. Dimitrov at least twice a year ensures early detection of dental issues. - Limit Sugary and Acidic Foods:
Reducing sugar intake helps prevent cavities and enamel erosion. - How Soon Will I See Results?
By adopting these habits, individuals getting older can protect their teeth and enjoy better oral health well into their later years.
Aging affects dental health in many ways beyond wear and tear. From gum recession and root decay to dry mouth and an increased risk of oral cancer, seniors face unique challenges with their teeth. However, these issues can be managed effectively with proper care and lifestyle adjustments.
At Mission Hill Dental, Dr. Dimitrov and his team are committed to helping St. Albert residents maintain healthy, strong smiles at every stage of life. If you have concerns about how aging is affecting your oral health, schedule an appointment today.
Taking provocative steps now can ensure that your smile stays bright and healthy for years to come.






